
La parodontite non fa male all’inizio, ma può portare alla perdita dei denti se non viene diagnosticata e trattata con un protocollo preciso.
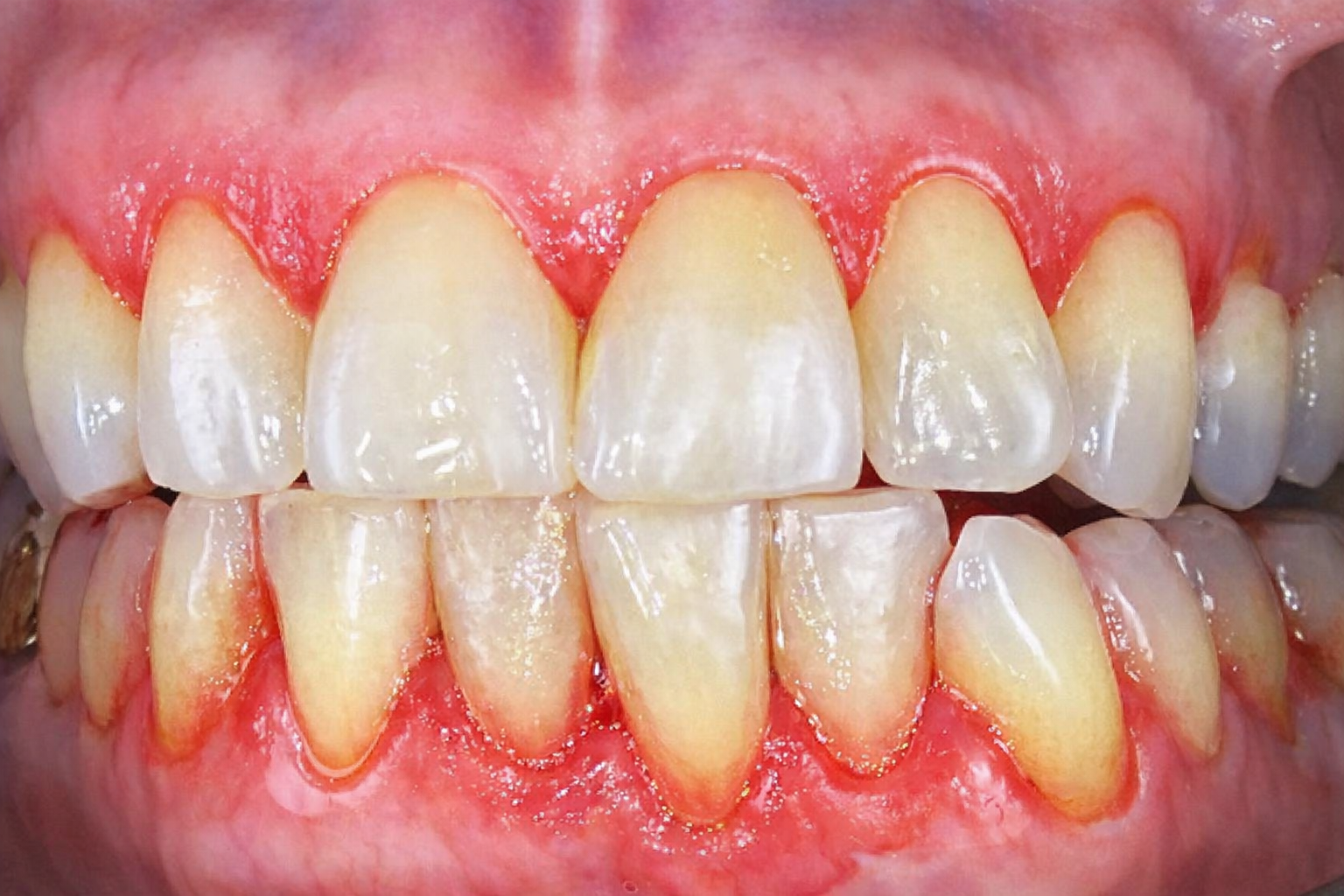
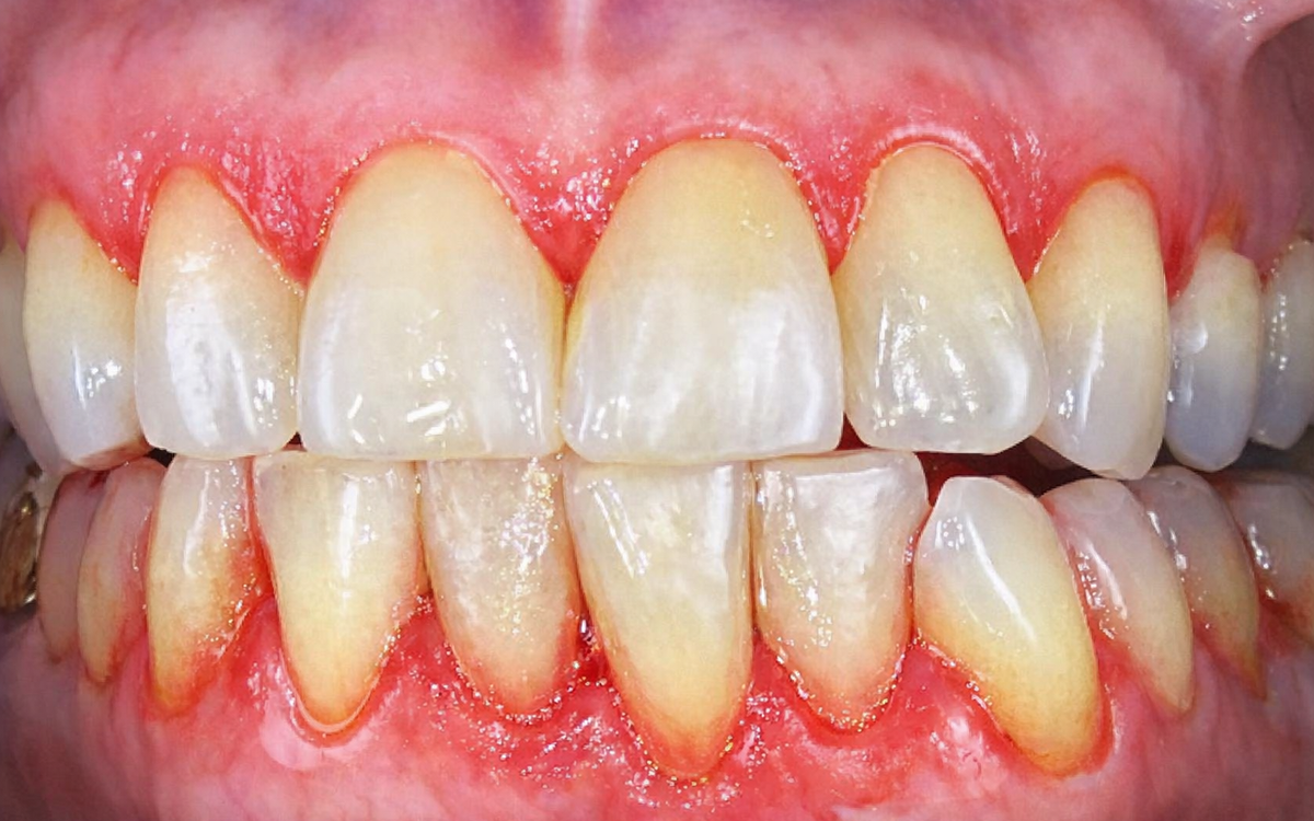
Capita spesso di lavarsi i denti tutti i giorni, magari anche con attenzione, eppure durante lo spazzolamento compare quel leggero sanguinamento dalle gengive.
All’inizio non ci si fa troppo caso.
“Sarà lo spazzolino troppo duro…”
“Forse ho spazzolato troppo forte…”
“Tanto non mi fa male.”
E proprio qui sta il punto.
I problemi alle gengive sono tra le malattie più diffuse della bocca, eppure sono anche tra le più trascurate.
Non solo dai pazienti. A volte anche dai dentisti.
Per capire il perché, bisogna fare un piccolo passo indietro.
Per molti anni la odontoiatria si è concentrata soprattutto sulla cura delle conseguenze della malattia.
Mancava un dente? Si metteva un impianto.
C’era una carie? Si faceva un’otturazione.
Un dente rotto? Si ricostruiva.
Tutti interventi importanti, certo. Ma tutti interventi che riparano un danno già avvenuto.
Negli ultimi vent’anni però qualcosa è cambiato.
L’università, la ricerca scientifica e anche l’evoluzione degli studi dentistici hanno portato una maggiore attenzione verso un concetto molto più importante: la prevenzione e la cura delle gengive.
Perché è proprio dalle gengive che spesso partono i problemi più seri.
La malattia delle gengive si chiama parodontite (più conosciuta come piorrea).
È un’infezione cronica che colpisce i tessuti che tengono fermo il dente nell’osso.
Il problema è che all’inizio non fa male.
Le gengive possono sanguinare, arrossarsi o gonfiarsi leggermente… ma non c’è dolore.
E quando non c’è dolore, il cervello tende a ignorare il problema.
“Se fosse qualcosa di serio mi farebbe male…”
Così passano mesi. A volte anni.
Fino a quando la situazione non si manifesta in modo evidente.
I denti iniziano a muoversi.
Le gengive si ritirano.
Compaiono i classici buchini neri tra i denti.
A quel punto spesso il danno è già avanzato.
Ecco perché la parodontite non si cura con una semplice pulizia.
Serve un protocollo preciso.
Il primo passo è la diagnosi.
Si eseguono radiografie e si fa il sondaggio parodontale, cioè una misurazione molto accurata della profondità delle gengive attorno ai denti. In questo modo si capisce quanto la malattia sia avanzata.
Una volta fatta la diagnosi, si passa alla terapia.
Generalmente il percorso prevede più sedute.
In una prima seduta si rimuovono tartaro e batteri sopra la gengiva.
Nelle sedute successive si interviene sotto la gengiva, pulendo in profondità le radici dei denti con una procedura chiamata levigatura radicolare.
Contemporaneamente il paziente riceve istruzioni molto precise su come pulire correttamente i denti a casa.
Perché senza una buona igiene domiciliare, nessuna terapia può funzionare.
Dopo circa tre mesi si esegue una rivalutazione.
Si rifanno le misurazioni e si controlla quanto la situazione sia migliorata.
E qui arriva la parte più difficile.
Seguire il protocollo.
Perché, a differenza di una carie o di un impianto, qui il risultato non è immediatamente visibile.
Quando metti un impianto, torni a masticare subito.
Quando fai un’otturazione davanti, il dente torna bello.
Con la parodontite invece la vittoria è silenziosa.
Significa fermare la malattia prima che distrugga l’osso e faccia perdere i denti.
Ecco perché il dentista o l’igienista possono chiederti di tornare ogni 3, 4 o 6 mesi.
Non è un capriccio.
È il modo più efficace per mantenere i tuoi denti nel tempo.
Perché se la parodontite non viene controllata, nel giro di 5–10 anni può portare alla perdita di uno o più denti.
E a quel punto le cure diventano molto più complesse e costose.
Curare le gengive significa prendersi cura delle fondamenta della bocca.
Un po’ come in una casa: puoi rifare i muri quanto vuoi, ma se le fondamenta cedono prima o poi tutto il resto crolla.
La buona notizia è che, se diagnosticata per tempo e seguita con costanza, la malattia parodontale può essere controllata molto bene.
E questo significa una cosa molto semplice: tenere i propri denti il più a lungo possibile.
Se sospetti di avere un problema alle gengive o noti sanguinamento quando ti lavi i denti, il consiglio è di non rimandare.
Una prima visita di controllo permette di capire subito la situazione e impostare, se necessario, il percorso più adatto per proteggere il tuo sorriso.



