
Perché gli scheletrati non vanno più bene o si fanno sempre meno
Perché oggi non sono più considerati una soluzione definitiva
Capita spesso di sentire questo dubbio.
Una persona ha perso alcuni denti, cerca una soluzione “classica”, magari anche più economica, e qualcuno propone ancora lo scheletrato.
E nella testa nasce subito quel pensiero.
“Ma se si facevano una volta e duravano anni, perché oggi non vanno più bene?”
Allora è importante chiarire una cosa fondamentale, senza giri di parole.
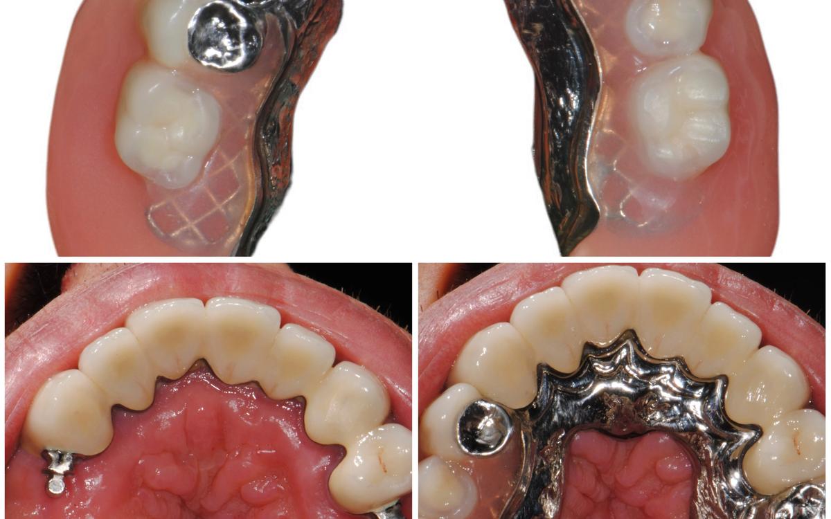
Lo scheletrato è una protesi rimovibile.
All’interno ha uno scheletro metallico.
Serve a sostituire denti mancanti.
E resta in posizione grazie a dei ganci che si agganciano ai denti naturali rimasti.
Questa soluzione nasce però in un’epoca molto diversa da quella di oggi.
Nasce quando gli impianti dentali non esistevano.
O comunque non erano una possibilità concreta come lo sono adesso.
Per far funzionare bene uno scheletrato c’era una regola precisa.
I ganci dovevano essere bilaterali, quindi a destra e a sinistra.
E dovevano agganciarsi sotto una zona del dente chiamata equatore, cioè la parte più “larga” del dente che permette al gancio di tenere ferma la protesi.
Il problema è che il dente naturale, così com’è, spesso non ha la forma ideale per ospitare un gancio.
E quindi cosa si faceva?
Si devitalizzava un dente sano.
Lo si incapsulava.
E si costruiva una corona con una forma studiata apposta per accogliere il gancio.
All’epoca aveva senso.
Oggi molto meno.
“Ma oggi perché non si fa più così?”
Perché oggi esistono gli impianti.
E devitalizzare un dente sano solo per farci agganciare uno scheletrato è qualcosa che si cerca di evitare.
Il dente naturale va preservato.
Vivo.
Integro.
Senza sacrificarlo inutilmente.
È vero però che alcuni pazienti chiedono soluzioni più economiche.
E quindi, ogni tanto, lo scheletrato viene ancora proposto.
Ma qui bisogna essere molto chiari.
Oggi lo scheletrato non è una soluzione definitiva.
Deve essere visto come una soluzione provvisoria.
Indicativamente 6–12 mesi, non di più.
Il motivo è semplice.
I ganci lavorano continuamente.
Durante la masticazione si muovono e scaricano forze sui denti a cui sono agganciati.
Se quei denti hanno una corona studiata apposta, l’usura è limitata.
Ma se sono denti naturali, lo smalto si consuma poco alla volta.
Giorno dopo giorno.
Masticazione dopo masticazione.
In più quei denti vengono sovraccaricati.
Devono sostenere una protesi che si muove, tira e scarica forze laterali.
Col tempo il risultato è quasi inevitabile.
Il dente si usura.
Il gancio perde stabilità.
Lo scheletrato inizia a muoversi sempre di più.
Ed è a quel punto che non funziona più.
Ecco perché oggi lo scheletrato si usa sempre meno.
Non perché sia “sbagliato”.
Ma perché è una soluzione pensata per un’epoca in cui non c’erano alternative migliori.
Il concetto chiave è questo.
Se oggi si cerca una soluzione stabile e duratura, si punta a non sacrificare denti sani.
E lo scheletrato, quando viene utilizzato, deve essere considerato per quello che è davvero.
Un passaggio temporaneo.
Non un punto di arrivo.
Se vuole capire qual è la soluzione più adatta al suo caso specifico, l’unica strada corretta è una valutazione personalizzata, che tenga conto dei denti presenti, dell’osso e delle reali possibilità a lungo termine. Una scelta informata oggi evita problemi domani.



