
Fumo e denti: i “segreti” che in realtà nessuno ti ha mai spiegato davvero
Capita spesso.
Si guarda lo specchio e si notano quelle macchie scure vicino alle gengive.
Oppure si sente che le gengive sanguinano meno del solito, ma allo stesso tempo sembrano più fragili.
E nella testa passa subito un pensiero.
“Possibile che sia solo colpa del fumo?”
La verità è che di segreti non ce ne sono.
Quello che c’è è una spiegazione chiara, che però raramente viene raccontata fino in fondo.
Perché il fumo fa così male a denti e gengive
Che si tratti di sigarette, sigari, pipa o sigaretta elettronica, il punto non cambia.
Il problema non è il formato.
Il problema è la combustione.
La combustione del tabacco produce calore intenso.
Ed è proprio il calore il vero nemico silenzioso di denti e gengive.
Questo calore rallenta la circolazione del sangue nei piccoli capillari gengivali.
E qui succede qualcosa di molto concreto.
Il sangue va immaginato come un corriere interno.
Porta nutrimento.
Porta vitamine.
Porta sali minerali.
Ma soprattutto porta i globuli bianchi, cioè le difese immunitarie.
Se il sangue rallenta, le consegne rallentano.
È come un’autostrada bloccata dal traffico.
Il corriere non corre più.
Arranca su strade secondarie.
E a destinazione arriva meno di tutto.
Meno nutrimento.
Meno difese.
Meno protezione.
In questa situazione i batteri hanno vita facile.
Le infezioni avanzano più velocemente.
E i danni diventano più frequenti e più profondi.
“Ma allora perché le gengive del fumatore spesso non sanguinano?”
Proprio per questo rallentamento.
Meno sangue in circolo significa anche meno sanguinamento.
Ma non è un segnale positivo.
È solo un falso silenzio.
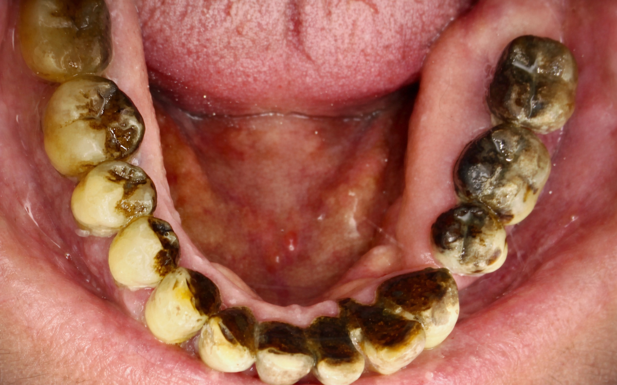
Le macchie scure: brutte sì, ma non sono il vero problema
Poi c’è l’aspetto estetico.
Quelle macchie marroni o nere al confine tra dente e gengiva.
“Non esiste un segreto per eliminarle definitivamente?”
A livello microscopico sono semplicemente catrame, un residuo diretto della combustione del tabacco.
Sono antiestetiche, certo.
Ma non sono il vero danno.
Anche facendo igiene professionale ogni tre mesi, il problema non cambia.
Perché stai pulendo la superficie, non la causa.
È come piantare un albero nuovo ogni stagione…
…ma dimenticarsi di innaffiarlo ogni giorno.
Difficile che cresca sano.
Il punto chiave da portare a casa
Il fumo non rovina denti e gengive perché “sporca”.
Li rovina perché toglie nutrimento e difese.
Finché il fumo resta,
nessun collutorio,
nessuna pulizia frequente,
nessuna attenzione maniacale all’igiene
può risolvere davvero il problema alla radice.
“Esiste un’alternativa senza smettere?”
No.
Ed è giusto dirlo con onestà.
Il messaggio finale è semplice e rassicurante allo stesso tempo.
Smettere di fumare non serve a punirsi.
Serve a ridare alle gengive e ai denti la possibilità di difendersi da soli.
Il concetto chiave è uno solo.
Il fumo non danneggia denti e gengive perché sporca.
Li danneggia perché riduce il sangue, il nutrimento e le difese.
Le macchie si possono togliere.
Il rallentamento della guarigione e della protezione no, finché il fumo resta.
Se vuoi capire che effetti ha già avuto il fumo nella tua bocca, su denti e gengive, l’unico modo è valutarlo con calma durante una visita mirata.
Trovi i nostri contatti qui sotto.
Chiarire oggi significa prevenire problemi più seri domani.



